Portal do Professor

Início do Conteúdo

Para que serve o Suor? Conhecendo o mecanismo da termorregulação no momento das atividades físicas

Autor e Co-autor(es)

Túlio Campos imagem do usuário

BELO HORIZONTE - MG ESCOLA DE EDUCACAO BASICA E PROFISSIONAL DA UFMG - CENTRO PEDAGOGICO

Amanda Fonseca Soares Freitas

Estrutura Curricular

Modalidade / Nível de Ensino Componente Curricular Tema
Educação de Jovens e Adultos - 2º ciclo Educação Física Conhecimentos sobre o corpo
Ensino Fundamental Final Educação Física Atitudes, conceitos e procedimentos: conhecimentos sobre o corpo

Dados da Aula

O que o aluno poderá aprender com esta aula

Conhecer os aspectos fisiológicos da termorregulação do nosso corpo durante o calor, o frio e o exercício físico.

Aprender como funciona o mecanismo de termorregulação durante a atividade física.

Aprender a importância da hidratação no dia-a-dia.

Duração das atividades

2 aulas de 50 minutos - Total 100 minutos

Conhecimentos prévios trabalhados pelo professor com o aluno

Não é necessário nenhum conhecimento prévio para que o aluno possa desenvolver a aula.

Estratégias e recursos da aula

Atividade 1: Limites do corpo humano: efeitos do calor.

Recursos: Sala de Vídeo ou sala de aula com projetor de imagens.

Duração: Aproximadamente de 30 minutos

Descrição: Como proposta inicial, o(a) professor(a) lançará para os(as) alunos as seguintes perguntas: (1) Qual é a temperatura do nosso corpo? (2)Quando ficamos expostos ao calor ou ao frio, nosso corpo altera sua temperatura? (3)Porque e para que nosso corpo precisa manter sua temperatura constante? (4)Quais a consequências da alteração drástica da temperatura corporal? (5)Quando realizamos uma atividade física, nossa temperatura aumenta ou diminui? (6)Como nosso corpo regula a temperatura no frio e no calor?(7)Qual a função da hidratação para nosso corpo?(8) por que trememos no frio, quando estamos pouco agasalhados? (9) Por que suamos no calor?  

Os(as) alunos(as) responderão as perguntas de forma oral, todavia peça para que registrem as respostas no caderno.

Logo depois dessa exposição inicial, exiba o vídeo sugerido logo abaixo, que apresenta em seu conteúdo o comportamento do nosso corpo quando exposto a temperatura alta. Além disso, apresenta imagens do funcionamento do sistema nervoso no processo de regulação da temperatura:

http://www.youtube.com/watch?v=qnrRvYt3hoI (Acessado em 15/06/2010).    

No momento em que os relatos aparecerem no vídeo, procure responder e esclarecer alguns dos possíveis questionamentos e dúvidas surgidas no momento inicial da aula, antes da exibição do vídeo. Para auxiliar o(a) professor(a) o artigo abaixo apresenta importantes informações a respeito da termorregulação. http://fisiologia.med.up.pt/Textos_Apoio/outros/Termorreg.pdf (Acessado em 15/06/2010). 

Atividade 2: Mecanismos de termorregulação.

Duração: aproximadamente 30 minutos

Recursos: Retroprojetor ou Data Show.

Obs.: Professor(a), caso não tenha disponível um data show ou retroprojetor, procure realizar desenhos no quadro, ilustrando as situações.   

Descrição: Para que os(as) alunos(as) entendam melhor o funcionamento da termorregulação será preciso que o(a) professor(a) explique como funcionam os mecanismos físicos e fisiológicos de transferência de calor, destacando a Radiação, a Condução, Convecção, o Controle Vasomotor e a Evaporação.

MECANISMOS DE TRANSFERÊNCIA DE CALOR

  • Através de eficientes mecanismos nosso corpo tem sua temperatura central mantida constante, tendo uma pequena variação de apenas ± 0,6°C (exceto em situação febril).
  • Um ser humano pode permanecer nu em uma faixa de temperatura que vai dos 13°C aos 70 °C, e mesmo assim sua temperatura corporal é mantida praticamente constante.
  • Ao contrário da temperatura central, a temperatura cutânea varia conforme a temperatura ambiente.
  • A temperatura central média de um ser humano fica na faixa de 36,7°C e 37°C, quando medida na boca. Porém pode variar quando se pratica atividades físicas intensas ou quando se está exposto a temperaturas ambientais severas.  (A figura abaixo ilustra situações de variações da temperatura corporal)

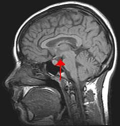
Hipotálomo: Centro termorregulador. Fonte: http://3.bp.blogspot.com/_8TKJwIjaSBE/SFcSfU9sK1I/AAAAAAAAAKU/BQS9SUIzPds/s320/Hypothalamus.jpg (Acessado em 15/06/2010). 

Fonte: http://www.icb.ufmg.br/fib/neurofib/Engenharia/Temperatura/processos%20biologicos.htm (Acessado em 15/06/2010).

Para ajudar a manter sua temperatura constante, algumas partes do corpo são fundamentais, pois atuam como materiais isolantes. Os principais sistemas isolantes do corpo são:

  • a pele (demonstrar foto abaixo)
  • os tecidos subcutâneos
  • a gordura dos tecidos subcutâneos

Fonte: http://www.icb.ufmg.br/fib/neurofib/Engenharia/Temperatura/processos%20biologicos.htm (Acessado em 15/06/2010). 

O controle da temperatura corporal é feito através do equilíbrio entre a quantidade de calor produzida e a quantidade perdida, realizado através de diversos mecanismos.

           - Ganho de Calor:     A produção de calor é um dos principais subprodutos do metabolismo. Alguns fatores que determinam a taxa de produção de calor são:

  • valor basal do metabolismo de todas as células do organismo.
  • aumento do metabolismo causado por atividade muscular.
  • aumento do metabolismo decorrente do efeito da tiroxina sobre as células.
  • aumento do metabolismo causado pelo efeito da epinefrina, norepinefrina e estimulação simpática sobre as células.
  • aumento do metabolismo em decorrência da maior atividade química nas células.

Os órgãos profundos (fígado, cérebro, coração e músculos esqueléticos) são os principais responsáveis pela produção de calor. Este calor é então transferido para a pele, onde é perdido para o meio ambiente. Exponha a figura abaixo para os(as) alunos(as), onde pode-se observar que as mais altas temperaturas do nosso corpo estão na região que estes órgãos se situam.

Fonte: http://www.uff.br/WebQuest/imagens/Thermographaweb.jpg (Acessado em 15/06/2010).

Em situações onde a temperatura do corpo está excessivamente baixa, o organismo atua para ganhar calor através da:   

  • vasoconstrição cutânea em todo o corpo
  • piloereção (Sensação de arrepio)
  • aumento da produção de calor   

O aumento da produção de calor pode se dar das seguintes formas:   

  • estimulação hipotalâmica dos calafrios (tremor)
  • excitação química simpática da produção de calor
  • aumento da produção de tiroxina         

Perda de Calor: Os fatores que determinam a quantidade de calor perdido são: velocidade com que o calor é transferido das partes mais interiores do corpo para a pele velocidade com que o calor é transferido da pele para o ambiente A transferência de calor do centro do corpo para a pele é realizado através do fluxo sangüíneo, e a troca de calor se dá principalmente em regiões expostas como as mãos, os pés e as orelhas. Podemos então perceber que a pele funciona como um radiador.  (figura abaixo)

 

Fonte: http://www.icb.ufmg.br/fib/neurofib/Engenharia/Temperatura/processos%20biologicos.htm (Acessado em 15/06/2010). 

A condução de calor pelo sangue é controlada através do grau de vasoconstrição das arteríolas e anastomoses arteriovenosas, que por sua vez é controlado pelo sistema nervoso simpático.

MECANISMOS FISICOS DE TRANSFERÊNCIA DE CALOR 

A energia térmica pode ser absorvida a partir do meio externo ou dissipada para o mesmo (conforme o gradiente térmico). Os principais mecanismos implicados são a radiação, a condução e a convecção.   

Radiação: A radiação corresponde à emissão de calor sob a forma de ondas eletromagnéticas. Este processo físico ocorre a partir de qualquer matéria desde que a sua temperatura não seja o zero absoluto, e o grau de radiação depende da matéria em causa (por exemplo, o ar tem uma capacidade de radiação muito reduzida).

Se a temperatura do corpo de um ser humano for superior à temperatura do meio externo, uma maior quantidade de calor irradiará do corpo para o ambiente, isto é, ocorre perda de calor por parte do organismo.

O(a) professor(a) poderá exemplificar esta situação destacando porque que a garrafinha de água enche de gotículas quando sai da geladeira.

Condução: A condução é um mecanismo de transferência direta de calor. O calor é a energia cinética do movimento molecular e pode ser transferido de umas moléculas para outras, é neste processo que consiste a condução. Exemplificando, as moléculas da pele estão em constante movimento vibratório e a energia cinética deste movimento pode ser transmitida ao ar, que se for mais frio, aumenta a velocidade das moleculares presentes no ar até que seja atingido um estado de equilíbrio.   

Convecção: A remoção de calor através de corrente de ar (convecção) é uma etapa após a condução, devido ao fato do ar quente ter a tendência de elevar-se. Este fenômeno evita que o ar quente fique em contato com a pele, o que prejudicaria a troca de calor. O vestuário minimiza as perdas de calor por condução e convecção ao permitir a criação de uma camada de ar, não renovada, junto à superfície corporal. Contudo, esta capacidade perde-se quando as roupas se tornam molhadas ou úmidas (por exemplo, jogadores de futebol trocam as camisas no intervalo do jogo), devido à elevada condutibilidade da água que aumenta a taxa de transferência de calor através da roupa em 20 vezes ou mais.   

Em situações usuais, os mecanismos físicos atrás citados promovem perda de calor pelo corpo, dado que geralmente a temperatura ambiente é inferior à temperatura corporal.   

Contudo em situações em que a temperatura ambiente seja superior a 37ºC, por exemplo, numa sauna (temperatura ambiente ~70 ºC) verifica-se uma inversão destes mecanismos com ganho de calor pelo organismo através dos mesmos processos físicos.     

MECANISMOS FISIOLÓGICOS DE TRANSFERÊNCIA DE CALOR   

Controle Vasomotor: Transmissão de Calor Corporal Central para a Pele A pele e as extremidades, contrariamente ao que acontece ao nível das regiões corporais mais profundas (região corporal central), têm maior variação de amplitude térmica. O tecido celular adiposo tem função isolante natural (baixa condução de calor), e separa a pele (região mais sensível às variações térmicas externas) da região corporal central (temperatura mais estável). O fluxo sanguíneo cutâneo estabelece ligação entre a pele e a região corporal central.   

Nesse momento dê exemplos do que acontece com nosso corpo em temperaturas altas e baixas:

  • Altas: as veias da nossa pele ficam mais expostas (mais “gordinhas”) para que libere mais facilmente o suor e consiga esfriar o sangue que chegará até os órgãos internos, para que menos sangue seja submetido
  • Baixas: as veias da nossa pele ficam menos expostas, para que o sangue não esteja exposto à temperatura muito baixa. Nesse momento você poderá dizer porque nossos lábios ficam mais roxos no frio, dentre outros exemplos.
  • Tremor: mecanismo de produção de calor das células por meio energia cinética.     

Mecanismo de evaporação: A evaporação consiste na perda de calor que acompanha a vaporização de um líquido a partir da superfície corporal. Com temperaturas ambientes superiores a 36ºC, a evaporação é o mecanismo exclusivo de perda de calor, dado que nessa situação a radiação, a condução e a convecção são ineficientes ou até promovem o ganho adicional de calor.   

Aqui o(a) professor(a) poderá destacar a importância da hidratação quando nosso corpo fica exposto às altas temperaturas.

Fonte: http://fisiologia.med.up.pt/Textos_Apoio/outros/Termorreg.pdf (Acessado em 15/06/2010).

http://www.icb.ufmg.br/fib/neurofib/Engenharia/Temperatura/processos%20biologicos.htm (Acessado em 15/06/2010).

Atividade 3: O mecanismo de regulação da temperatura corporal no momento da atividade física

Duração: aproximadamente 20 minutos.

Descrição: Após a exposição das informações na atividade anterior faça as seguintes perguntas aos alunos: Quando realizamos uma atividade física, nossa temperatura aumenta ou diminui? Por que? Como nosso corpo regula a temperatura no momento em que me exercito?   

Neste momento procure expor as informações da seguinte maneira:

  • A temperatura do nosso corpo aumenta durante a atividade física;
  • O aumento ocorre por meio da maior ativação dos movimentos celulares, dos órgãos - como cérebro, coração e músculos – e do corpo como um todo (sistema esquelético).
  • Todavia é necessário que o corpo mantenha sua temperatura interna constante;
  • O corpo executa seus mecanismos de termorregulação: ativação dos neurosensores cutâneos e aumento da produção de suor.
  • Importância da Hidratação: Repõe os sais minerais; hidrata as células e os órgãos.   

Atividade 4: Vamos suar: sensação de frescor após uma corrida

Duração: aproximadamente 20 minutos.

Recursos: Espaço da quadra e um caderno (folha de papelão) Descrição: Professor(a), conduza os(as) alunos(as) até a quadra ou algum espaço aberto e  proponha para uma corrida de 05 minutos. Após terminarem de correr pegarão o caderno e irão abaná-lo em direção ao rosto e braços, produzindo o “ventinho”. Logo depois faça uma roda com os(as) alunos(as) e peça-os para relatar, a partir das questões colocadas em sala de aula, a sensação de frescor após a corrida. Aproveite este momento para retomar os principais pontos discutidos na aula.     

Possibilidades de Ampliação: 

Quanto às propostas para projetos multidisciplinares: Como possibilidade de enriquecimento da proposta da aula, o(a) professor(a) poderá sugerir para os professores das disciplinas de Física e de Ciências (Biologia) a construção de um projeto multidisciplinar: No caso da disciplina de Física, o professor poderá trabalhar com os(as) alunos(as) de forma mais aprofundada os mecanismos físicos de transferência de calor: objetos condutores de calor, superfícies que possuem maior facilidade de conduzir calor. Já no caso da disciplina de Biologia, os mecanismos celulares de regulação da temperatura, o funcionamento das células e do corpo quando exposto às altas e baixas temperaturas etc. É importante lembrar que essa proposta demandará diálogos constantes entre as três disciplinas, porém muito enriquecedoras para a formação dos alunos e dos professores.

Recursos Complementares

A partir do artigo sugerido abaixo, o(a) professor(a) poderá produzir um texto para os(as) alunos(as):

http://www.centrodeestudos.org.br/pdfs/termorregulacao.pdf (Acessado em 15/06/2010) 

Avaliação

Professor(a), no desenvolvimento das atividades faça as seguintes indagações: Os(As) alunos(as) estão envolvidos com o tema? Fazem perguntas no momento da exibição do vídeo e das informações?Conseguem associar as informações com situações do cotidiano? Eles estão interessados, fazendo perguntas e colocando questões? Estão envolvidos? Já vivenciaram estas questões em outros momentos (outras disciplinas)? Relatam o que aprendem? dentre outras.

Ao final da aula, o(a) professor(a) realizará uma roda com os(as) alunos(as) e poderá discutir como foi sua proposta. Pergunte: O que aprenderam? Como conhecer os mecanismos de regulação da temperatura do nosso corpo? Como foi conhecer os limites do seu corpo quando exposto às situações de calor extremo? O que acharam da proposta da corrida na atividade 4? Peça sugestões para a aula posterior.